빠른 상담
성함과 연락처를 남겨주시면 상담사가 연락드립니다.
(공휴일, 일요일 상담 신청 시 정상 근무시간에 연락드립니다)
평일 오전 9시 ~ 오후 5시, 토요일 오전 9시 ~ 오후 12시
24시 야간상담
골절/외상 야간직통문의 : 010-9749-8275
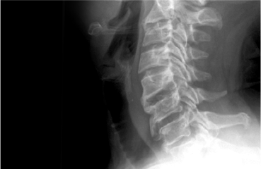
후종인대
골화증이란?
척추체와 척추관 사이에서 척추의 정렬 및 안정화, 운동성을 유지하기 위해
존재하는 구조물을
후종인대라고 합니다. 다양한 원인에 의해 후종인대가 뼈처럼
단단하게 굳어지는 골화를 일으켜 척추관을 압박함으로써 신경장애가 나타나는
질환을 후종인대 골화증이라고 합니다.
목 부분인 경추에서 주로 발생하며,
경우에 따라 가슴 쪽 흉추에서도 드물게 발생합니다.
후종일대
골화증 원인

사고로 인한 외상

당뇨병, 비만 등의 성인병

면역질환

강직성 척추염

미만성 골과다증

유전적/인종적인 요인
후종인대
골화증 증상

후종인대
골화증치료법
척추센터 바로가기 +
후종인대 골화증 치료법으로는 크게 비수술적 치료와 수술적 치료로 구분할 수
있습니다. 증상이 나타나고 처음 진단 받는 경우는 대개 신경의 압박이 현저한 경우가
많아 보존적 치료에 반응을 보이지 않는 경우가 더 많습니다.
따라서 조기에 발견되거나 증상이 심하지 않더라도
예방 목적의 수술이 필요한 경우도 있습니다.
비수술적 치료
소염진통제, 스테로이드 등의 약물 치료와 보조기 착용 및 물리치료 등이 있습니다.
전방경유 척추체 제거술 및 유합술
원칙적인 수술 방법으로, 척추체를 제거하고 골화 부위를 직접 적출하여 척수신경을
감압합니다.
후방경유 척추후궁성형술
여러 부위의 척추체에서 발생하였거나 신경 손상의 위험성이 큰 경우 시행할 수
있습니다. 경우에 따라 전후방 병행 수술이 필요할 수도 있습니다.
성함과 연락처를 남겨주시면 상담사가 연락드립니다.
(공휴일, 일요일 상담 신청 시 정상 근무시간에 연락드립니다)
평일 오전 9시 ~ 오후 5시, 토요일 오전 9시 ~ 오후 12시
24시 야간상담
골절/외상 야간직통문의 : 010-9749-8275